癌症如隐形杀手,随时威胁你的生命安全
治疗过程漫长,副作用让身心俱疲
免疫力低下,身体无力抵抗病魔
成功康复后,复发阴影挥之不去
每一次体检,都牵动你和家人的心


人体内的NK细胞和T细胞是天然的“癌症猎手”,
当它们被激活后,能够精准锁定并摧毁异常细胞,阻止癌症扩散。
免疫疗法通过特殊培养技术,提升这些细胞的数量和活性,
让身体的防御系统更强大、更持久。

• 依托先进细胞复苏与培养技术,日本多家机构可使NK细胞恢复年轻态
• 回输的细胞等同于“重启身体年轻时期”的免疫力水平,对抗异常细胞更高效

• 通过激活NK细胞的线粒体,提高细胞能量水平,增强其持续作战能力
• 激活后的NK细胞能够更高效地识别并杀伤病毒和癌细胞,提升免疫反应持久性
• 临床结果表明,线粒体激活技术在免疫治疗和癌症辅助治疗中展现了卓越的疗效

• 除NK细胞外,日本部分方案也同步培养并回输免疫T细胞
• 通过“先天免疫+适应性免疫”双路径激活,构建立体化防御系统

• 单次回输可达60–100亿活性细胞,远高于传统疗法5–15亿的水平
• 高剂量输入有助于提升免疫应答力、清除异常细胞、增强抗病毒能力

• 细胞培养环境遵循Class100航天级无菌标准,避免任何污染与添加物干扰
• 无抗生素、无动物源污染,细胞更纯净、使用更安全

• 日本免疫细胞疗法需通过厚生劳动省与PMDA多项审批与认证
• 包括细胞处理许可、临床实施资质、设施审核等,确保疗程科学、疗效真实、风险可控
强化身体自然防御,提升整体免疫力
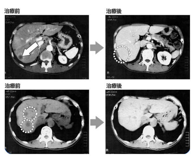
有效抑制肿瘤生长,阻断癌细胞扩散
有效治疗癌症,促进病情好转与恢复
降低复发风险,守护长期健康


日本干细胞医院配备日本医疗等级的CPC实验室
诊疗、采集、培养与回输全流程规范、独立,符合严苛的无菌标准。
医疗服务由专业医师一对一负责,确保私密、安心与高效。
选择奇异鸟,选择备受呵护的赴日医美之旅!